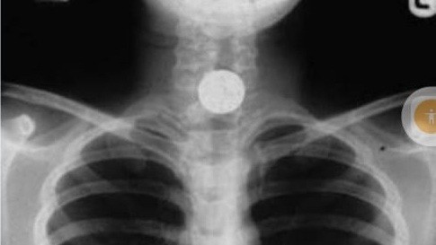
В Ат-Башы из пищевода 8-летнего ребенка извлекли 5 копеек СССР

Turmush в WhatsApp-канале — подпишись!

Данная статья является интеллектуальной и авторской собственностью издания Turmush. Перепечатка материала с сайта невозможна без письменного разрешения редакции.
×